X10
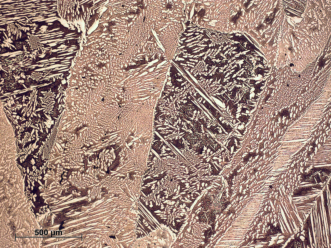
Latón (42%Zn)
Composición: Cu-42%Zn.
Procesado: Moldeado en arena.
Ataque: Inmersión durante 30 s en solución alcohólica de FeCl3.
En la macrografía se observan granos columnares rodeados por otros equiaxiales y una cierta subestructura. Los granos corresponden a la fase β, primera en solidificar durante el enfriamiento desde el estado líquido (ver diagrama de equilibrio), mientras que la subestructura se debe a la precipitación de fase α (más rica en Cu). Esta última fase nuclea en zonas de alta energía como los límites de grano y crece en ciertos planos activos de la fase matriz β, formando una estructura tipo Widmanstätten, en la que los cristales de α adoptan formas de agujas más o menos anchas. En las micrografías se observa que el ataque tiende a oscurecer la fase β, dejando de color claro la fase α.
Diagrama Cu-Zn

Este obra está bajo una licencia de Creative Commons Reconocimiento-NoComercial-CompartirIgual 4.0 Internacional.

