Vías excretoras
Estructura histológica
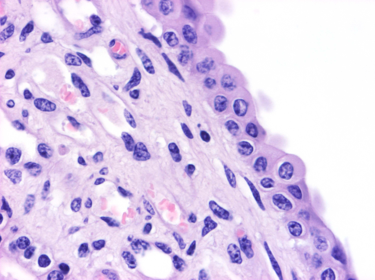
Las vías excretoras son la pelvis renal, los uréteres, la vejiga urinaria y la uretra. Como se ha mencionado, estas estructuras sirven de conducción y almacenamiento de la orina formada en el riñón. Se trata de estructuras tubulares con capa mucosa, submucosa, muscular y serosa. Todas tienen en común una mucosa de epitelio de transición, también conocido como urotelio (ur) ya que sólo se encuentra en el aparato urinario.
El epitelio de transición es un epitelio estratificado, de 3 a 6 capas celulares dependiendo del grado de distensión del órgano. Las células basales (b) están compactas y son cúbicas, mientras que las de los estratos intermedios son cilíndricas. Las células de la superficie son las células umbelíferas o domo (flecha) y poseen características especiales de impermeabilidad y son capaces de estirarse para cubrir toda la superficie cuando el órgano está completamente distendido.
Detalle del urotelio replegado
Detalle del urotelio distendido
