Las células del tejido óseo
Las características histológicas
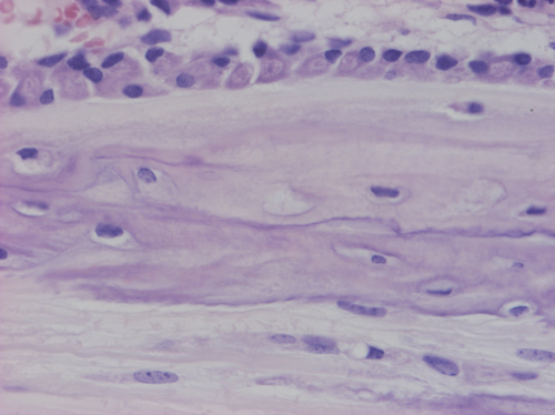
Las células del tejido óseo son los osteoblastos, los osteocitos y los osteoclastos.
Los osteoblastos (flecha) son las responsables de la síntesis de la matriz orgánica, el osteoide, y median su mineralización. Se disponen alineados en una capa sobre las superficies óseas.
Los osteocitos (punta de flecha) son osteoblastos inactivos atrapados en el hueso formado. Se trata de células maduras localizadas en el seno de la matriz ósea en el interior de espacios llamados lagunas. Son células ovoides a aplanadas, con grandes prolongaciones que se introducen en los conductos calcóforos. Se encargan del mantenimiento de la matriz ósea.
Los osteoclastos (*) son los macrófagos del tejido óseo. Se trata de células multinucleadas perteneciente al sistema mononuclear fagocitario. Son células grandes, poligonales y multinucleadas. Su función fundamental es la remodelación ósea.




