EL TIMO
La estructura histológica
El timo es un órgano linfoide primario. Se localiza en la porción craneal del mediastino y es una estructura aplanada, lobulada, cuyo desarrollo es mayor en edades tempranas e involuciona con los años.
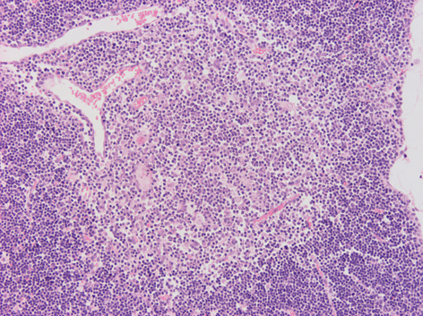
Histológicamente está rodeado externamente por una cápsula de tejido conjuntivo que emite tabiques hacia el interior del órgano y lo divide en lobulillos tímicos. En cada lobulillo se diferencia una zona cortical (c) de apariencia muy basófila debido al gran número de células linfoides y una zona medular (m). La zona medular es más clara ya que hay menos células linfoides, y contiene los corpúsculos de Hassall que son agrupaciones de epiteliocitos queratinizados (flecha) dispuestos concéntricamente con zona central de queratina lamelada y material degenerado o calcificada (q). Conforme el órgano envejece, en centro de queratina de los corpúsculos de Hassal se hace más amplio.
Detalle de un corpúsculo de Hassal
Busca el lobulillo tímico para verlo a mayores aumentos


