EL OVARIO
La estructura histológica
El ovario es un órgano par adyacente al oviducto, y es dónde tiene lugar la oogénesis. En los animales sexualmente maduros los oocitos son expulsados al tracto genital (ovulación) de manera estacional o en intervalos regulares durante todo el año. El ovario es también un órgano endocrino responsable de la producción de estrógenos y progesterona. Tanto la ovulación como la secreción hormonal son reguladas por las gonadotropinas de la hipófisis.
Histológicamente el ovario está constituido por una envoltura externa de epitelio simple cúbico sobre la túnica albugínea de tejido conjuntivo denso. El parénquima se diferencia en una zona cortical donde se desarrollan los folículos ováricos, y una zona medular muy vascularizada e innervada, que se continua con el hilio del órgano.
La zona cortical está constituida por los folículos en diversos grados de maduración, abundante estroma de tejido conjuntivo laxo. Se diferencian varios tipos de folículos según su fase de desarrollo. Los folículos primordiales están constituidos por el oocito (*) rodeado por una capa de células cúbicas (células foliculares), y se encuentran próximos a la superficie cortical. Los folículos primarios tienen un oocito de mayor tamaño rodeado por varias capas de células foliculares, que son las células de la granulosa (g). Entre el oocito y las células de la granulosa está la zona pelúcida (flecha). El estroma de alrededor se organiza formando las tecas (t). Entre las células de la granulosa y la teca está la membrana limitante externa (cabeza de flecha).
Los folículos secundarios se diferencian de los primarios por la diferenciación entre la teca externa y la teca interna y la formación del antro folicular (a), un espacio lleno de fluido proteínico que rodea al oocito con su cúmulo oóforo y la corona radiada.
Los folículos maduros o de Graaf son de gran tamaño, y contienen el oocito con su corona radiada, completamente rodeado por líquido folicular.
En cada ciclo empiezan a madurar varios folículos, pero la mayorái no termina el desarrollo e involuciona. Éstos son folículos atrésicos.
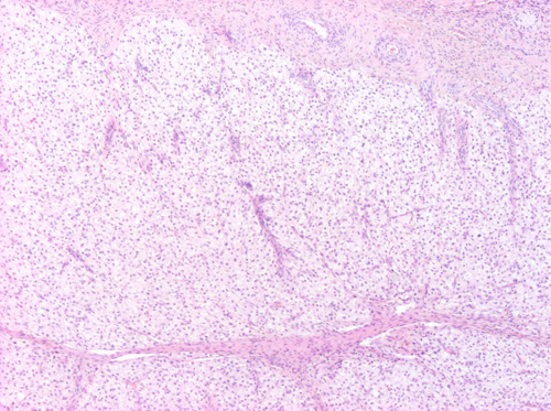
Tras la ovulación del oocito maduro, las células de la granulosa y teca interna se transforman en células luteínicas. Estas células tienen características de células productoras de esteroides, son grandes, poligonales y tienen numerosas microvacuolas incoloras (lipídicas) en el citoplasma eosinófilo pálido. Estas agrupaciones de células luteínicas constituyen el cuerpo lúteo.
En la zona medular además de grandes vasos sanguíneos, linfáticos y nervios está la red ovárica, constituida por túbulos irregulares tapizados por epitelio plano o cúbico simple, restos embrionarios del conducto de Wolff. El hilio ovárico es la zona de entrada y salida de los vasos y nervios, y también contiene restos de red ovárica.
Detalle de un folículo de Graff
El cuerpo lúteo
Señala la zona cortical del ovario





