EL GANGLIO LINFÁTICO
La estructura histológica
Los ganglios linfáticos o linfonodos son estructuras encapsuladas donde se localizan numerosos linfocitos organizados. Estos ganglios se encuentran distribuidos por todo el organismo. A estas estructuras migran las células dentriticas expuestas a antígeno en la piel y mucosas, y se los presentan a los linfocitos T.
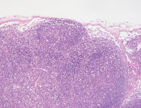
Histológicamente, los ganglios tienen una una cápsula de tejido conjuntivo denso que rodea al órgano y emite trabéculas hacia el interior. Debajo se encuentra el seno supracortical (flecha) que se continúa con los senos corticales, que van paralelos a las trabéculas, los senos paracorticales, localizados bajo los folículos, y los senos medulares (flecha).
El parénquima se diferencia en una zona cortical, una zona paracortical y una zona medular. La zona cortical es más basófila debido al elevado número de linfocitos, los cuales se agrupan en nódulos, los nodulillos linfoides primarios (fp). Éstos, al activarse pueden tener una zona central más pálida debido al menor número de linfocitos, llamada el centro germinal o nodulillo linfoide secundario. La zona paracortical es rica en linfocitos pero no tiene nódulos linfoides. La zona medular está formada por cordones medulares (*) que tienen células plasmáticas, macrófagos y células precursoras, y los senos medulares, tapizados por células endoteliales.
Detalle del seno supracortical
Detalle de médula con cordones y senos
Busca la zona cortical seleccionada para ver los folículos linfoides



