EL BAZO
La estructura histológica
El bazo es un órgano linfoide de gran tamaño, generalmente localizado en la zona craneal izquierda de la cavidad abdominal. Recibe una gran cantidad de sangre y tiene tres funciones principales: la respuesta inmunológica frente a antígenos en la sangre, retirada de material celular, células envegecidas o defectuosas, y por último hematopoyesis en el feto y en adultos con determinadas enfermedades.
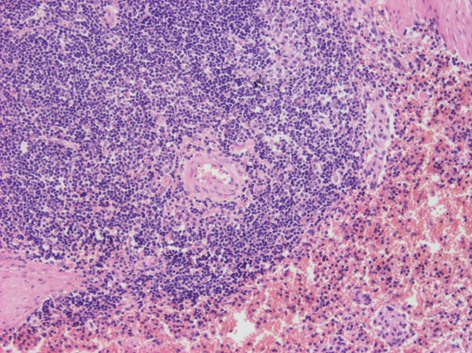
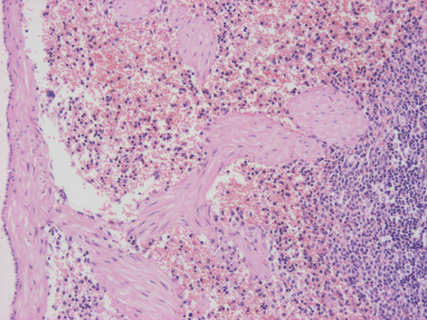
Histológicamente tiene una cápsula (c) fina de tejido conjuntivo que emite trabéculas (t) hacia el interior. En el parénquima se distinguen dos zonas, la pulpa blanca y la pulpa roja. La pulpa blanca es basófila y rica en linfocitos (folículos esplénicos) que se disponen alrededor de arteria corpuscular, la arteriola centrofolicular esplénica (*). La pulpa roja, está integrada por senos vasculares de diversos tamaños, los pequeños drenan en los mayores, y están tapizados por células endoteliales. Estos senos están llenos de células sanguíneas.
Detalle de pulpa blanca
Detalle de la pulpa roja
Busca la zona de parénquima seleccionada para ver pulpa roja y blanca a mayores aumentos


