Duodeno
Características histológicas propias del duodeno
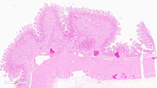
El duodeno se caracteriza por tener las vellosidades (v) de la mucosa (mu) anchas y de altura variable con respecto al yeyuno y al íleon. Entre vellosidad y vellosidad se encuentran las criptas glandulares o de Lieberkün (flechas). En la submucosa (sm) se localizan las glándulas de Brünner. Son glándulas mucosas propias de esta sección de intestino.
Busca las glándulas de Brünner

