Buscar en la web
Desplegar navegación
Navegar identificado
Hospital Clínico Veterinario
Clínicas y hospitales
Desplegar navegación
Quiénes somos
Descripción del centro
Estructura del HCVC
Localización y accesos
Instalaciones
Animalario Docente
Facultad de Veterinaria
Convenios
Bioseguridad y autoprotección
El HCVC en los medios
Tasas Hospitalarias
+
Pequeños animales
Contacto y petición de cita
Petición cita urgente neurologia/neurocirugía
Información pequeños animales
Banco de sangre
+
Équidos
Contacto y petición de cita
Equipo profesional
Instalaciones
Actividades clínicas
Información para el propietario
Información para el veterinario remitente
+
Rumiantes y otros Animales de Abasto
Servicios de apoyo y externos
Anatomía Patológica
Anestesiología
Biopatología Clínica
Diagnóstico por Imagen
Farmacia hospitalaria
Microbiología y Parasitología
Reproducción
Diagnóstico de Leishmaniosis y Ehrlichiosis canina
+
Formación
Formación especializada (Diplomaturas EBVS)
Títulos propios
Internados
Estancias en el HCVC
Alumnos colaboradores
Convenios
+
Calidad
Proceso Electoral
Portada
Servicios de apoyo y externos
[...]
Galeria de imágenes
Laboratorio de Micología
Laboratorio de Micología
Lesiones en piel costrosas de un felino. Imagen microscópica Microsporum canis. Tinción con Azul de Metileno.
Lesión alopécica descamativa de un perro. Imagen macroscópica de Microsporum canis en Medio de cultivo DTM.
Lesión alopécica descamativa de un perro. Imagen macroscópica de Microsporum canis en Medio de cultivo Agar Sabouraud con cloranfenicol.
Lesión alopécica descamativa de un perro. Imagen microscópica de Microsporum canis. Tinción con Azul de Metileno.
Lesión alopécica descamativa de un perro. Imagen microscópica de Microsporum canis. Tinción con Azul de Metileno.
Lesión alopécica descamativa de un perro. Imagen macroscópica de Trichophyton sp. en Medio de cultivo DTM.
Lesión alopécica descamativa de un perro. Imagen microscópica de Trichophyton sp. Tinción con Azul de Metileno.
Exudado ótico de un perro. Imagen macroscópica de Malassezia pachydermatis en Medio de cultivo Agar Sabouraud con cloranfenicol.
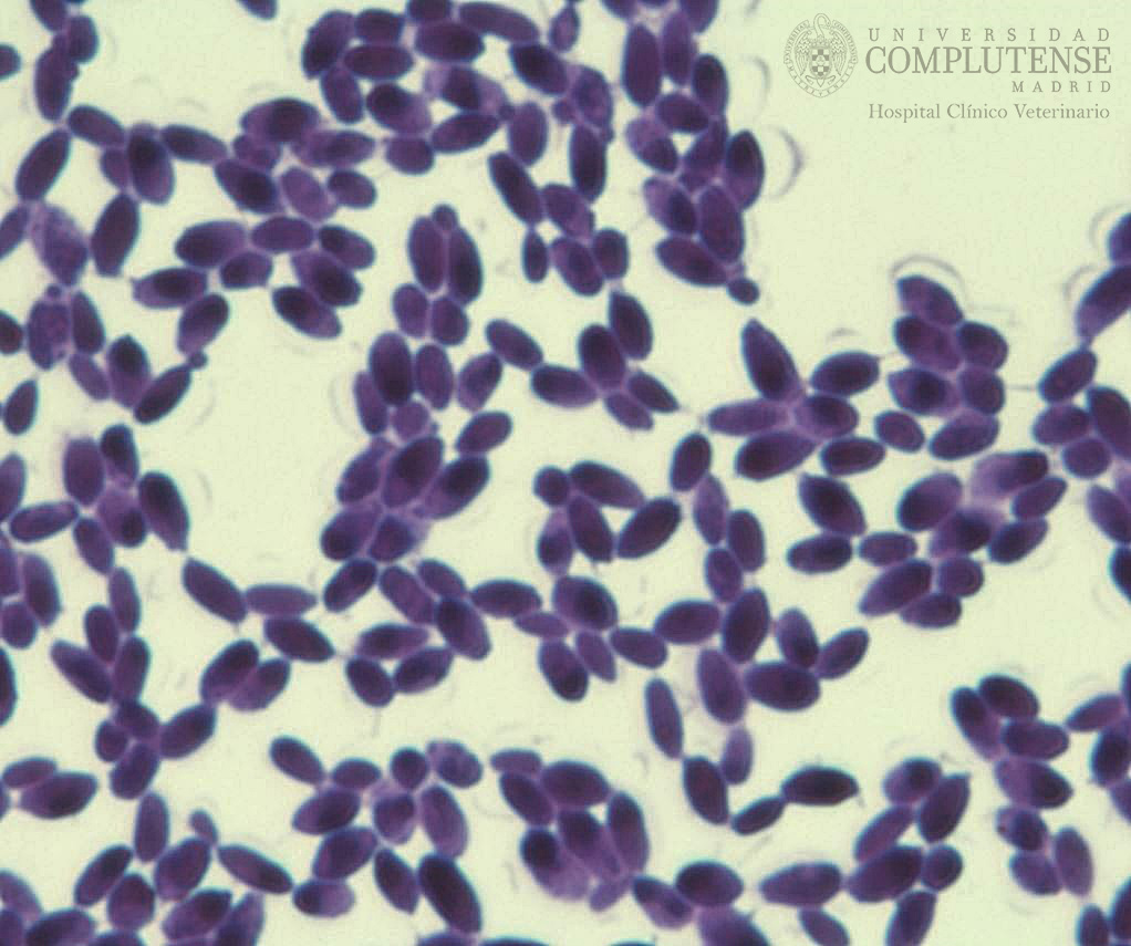
Exudado ótico de un perro. Imagen microscópica de Malassezia pachydermatis. Tinción simple con Violeta de Genciana.
Exudado ótico de un perro. Imagen microscópica de Malassezia pachydermatis. Tinción simple con Violeta de Genciana.
Pelos de lesiones descamativas de un perro. Imagen macroscópica de Trichophyton mentagrophytes en Medio de cultivo Agar Sabouraud con cloranfenicol.
Pelos de lesiones descamativas de un perro. Imagen macroscópica de Trichophyton mentagrophytes en Medio de cultivo DTM.
Exudado ótico de un perro con otitis crónica. Imagen macroscópica de Malassezia pachydermatis en Medio de cultivo Agar Sabouraud con cloranfenicol.
Exudado ótico de un perro con otitis crónica. Imagen macroscópica de Malassezia pachydermatis en Medio de cultivo de Dixon modificado.
Exudado ótico de un perro con otitis crónica. Imagen macroscópica de Malassezia pachydermatis, Proteus spp y Staphylococcus spp en Medio de cultivo Agar Sabouraud con cloranfenicol.
Exudado ótico de un perro con otitis crónica. Imagen macroscópica de Malassezia pachydermatis, Proteus spp y Staphylococcus spp en Medio de cultivo Agar Sabouraud con cloranfenicol.
Exudado ótico de un perro con otitis crónica. Imagen macroscópica de Malassezia pachydermatis, Proteus spp y Staphylococcus spp en Medio de Dixon modificado.
Exudado ótico de un perro con otitis crónica. Imagen microscópica de Malassezia pachydermatis. Tinción simple con Violeta de Genciana.
Exudado ótico de un perro con otitis crónica. Imagen microscópica de Malassezia pachydermatis. Tinción simple con Violeta de Genciana.
Lavado broncoalveolar de un perro con megaesófago. Imagen macroscópica de Aspergillus fumigatus y Candida spp en Medio de cultivo Agar Sabouraud con cloranfenicol.
Lavado broncoalveolar de un perro con megaesófago. Imagen microscópica de Aspergillus fumigatus. Tinción con Azul de Metileno.
Lavado broncoalveolar de un perro con megaesófago. Imagen microscópica de Aspergillus fumigatus Tinción con Azul de Metileno.
Lavado broncoalveolar de un perro con megaesófago. Imagen microscópica de Aspergillus fumigatus. Tinción con Azul de Metileno.
Lavado broncoalveolar de un perro con megaesófago. Imagen microscópica de Candida spp.